After two years and nine months, numerous artificial inseminations and hormone pills and injections we found out I was pregnant. We couldn't be more happy! Nine months later with only a few weeks of morning sickness and no heartburn Leah was born by c-section at 38 weeks on 9 September 2008. A healthy baby girl weighing 3kg. The most beautifull baby.
The first time I saw her I was overwhelmed with love for her. Perfect in every way, ten toes and ten fingers, or so we thought...
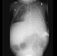
After holding her for 20min she was taken away to NNICU, she was not getting enough oxygen and turned a little blue. They placed her on a Cipap machine that placed positive pressure in her lungs while she was breathing on her own. We felt so helpless as she was lying in the crib, not being able to pick her up and comfort her. In the days that followed we were given the worst news parents could ever get.
Leah was born with numerous defects, never picked up on any scan during pregnancy. She was born with only a right kidney, her left lung was collapsed, she had a narrowed trachea (Congenital Long Segment Tracheal Stenosis), her left pulmonary artery developed incorrectly and she had a few heart problems (PDA, ASD and Cor-Triatiam). We were told by the dr that they last saw this type of stenosis 15 years ago and that the baby was transferred to London to be operated on. They had no answers or solution. They are not able to do the operations necessary to save Leah's life. Our whole world and all our dreams for our little girl came down in pieces... |
|
|
|
A specialist, Dr Colyn, was called in to do an Echo on Leah. She confirmed what the dr's had found. The only difference is that she had hope for Leah. She referred us to Sunninghill Hospital from Wilgers and Leah was transferred there on Saturday 13 September 2008. We were met by a team of Cardiac Thoracic Surgeons, Prof Rob Kinsley, Dr Pete Colsen, Dr Hendrik Mamorare and Dr Greg Martins and also a Paediatric Cardiologist Dr Raymond Dansky. The doctors had seen similar cases like these and had hope for Leah. Even the slightest bit of hope is all we wanted.
They will have to operate on Leah, but have decided to send her home as soon as she is coping to breath on her own. She needs to pick up as much weight as she can. The bigger she gets the better, as it will make her stronger for the operation.
Leah was kept in NNICU (Neo Natal Intensive Care Unit) for about 10 days on oxygen and tube feeding. She was sent home but was back in hospital after a week. She wasn't eating well and therefore not picking up any weight. Another week in hospital and we were back home.
The next two months at home wasn't always easy. Leah still wasn't eating well, she was throwing up and was turning blue at stages. We were told to come back in January 2009 for a follow up and to do an Echo on Leah. Then they will decide when to operate. But that all changed on 4 December 2008 when Leah just stopped breathing at home. At first you don't realize what is happening, but when you don't see your baby moving or breathing at all, panic sets in. After about 1 min she came too and we took her to the emergency room at Wilgers Hospital. They gave her some oxygen and her pink colour came back. After this she was placed on oxygen at home. She had to be on the machine for 12 hours during the night. As the days went by, we had to give her oxygen during the day as well. As soon as she would cry, her trachea would go into a spasm and close up. No air could get in.
Leah stopped breathing twice more after this incident, while she was on the oxygen. The first time was on 15 December 2009 when we were at the physiotherapist. They had to give her CPR. This was so frightening. When she came too, we immediately phoned the peadiatrician (Dr Danksy) and told him we are on our way. On arrival the dr did an Echo and said that Leah needs to be admitted right away. On admittance in the CT-ICU (Cardiac Thoracic Intensive Care Unit) she started crying and stopped breathing again. Again they had to do CPR and used the green bag. That day we realized that Leah is really sick and that she needs the operation to save her life.
On tuesday 16 December 2008 at 8:00 she was taken into theatre and operated on. They operated the following:
1. Congenital Long Segment Tracheal Stenosis : Narrowed Trachea operated by doing a Slide Tracheoplasty
2. PDA : Hole in the heart
3. ASD: Hole in the heart
4. Cor-Triatiam
: Membrane in heart chamber
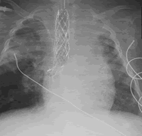
Leah was quite swollen but did very well after the operation. Prof Kinsley said that everything went fairly well. He considered taking out the left lung, but decided against it. They will monitor the lung to see what they have to do.They did a CT-SCAN and found that there is still a segment of stenosis they didn't operate on which goes in spasm and makes air entry difficult. She was taken into theatre again on Friday 19 December 2009. Again the operation went fairly well and the collapsed left lung was looking much better. Only time would tell how she would heal and manage after the operation. The doctors have said more than once that the road ahead will be very long. How long could not be sure. Previous cases we heard off took 18 months. What the outcome was, we don't know. We have done a lot of research and it's not really positive news. The survival rate of baby's in South Africa, with Leah's problem, is minimal. There is a hospital in London, GOSH (Great Ormond Street Hospital), who treats about 10 - 12 baby's with this problem a year. We have contacted them via email and the dr has also been in contact with Prof Kinsley. There isn't really anything else they could have done.
On 29 December 2008 the stats on the ventilator went up and they found that the stitches on the last operation did not heal completely. This meant that the wound went open and air was leaking out. She was taken into theatre on 30 December 2008 to correct this by using a Bovine Pericardium Patch.
The operations healed and she was waking up at times. Looking around and following our voices. She was also moving her arms and legs. During this time she was on continuous ventilation with the settings turned up and down as she was coping or not, she was on a list of medications and getting tube feeding. She started picking up weight and growing in length.
For the next two months she was taken into theatre 9 times to do a Bronchoscopy and Balloon Dialatation on the trachea and bronchus. Numerous CT-SCANS were also done to see how she was healing on the inside and if the Tracheal Stenosis which was the biggest problem operated on, has healed. Leah has also received blood transfusions a few times.
But then on 5 March 2009 she was taken back into theatre one again. This time they had to operate on the following:
1. Tracheal Stenosis into left bronchus : Operated by doing Pericardium Patch (found around the heart)
2. Re-do Cor-Triatiam
3. Placation of Diaphragm
During Leah's stay in hospital from 15 December 2008 she's been on the ventilator, getting tube feeding and numerous medications and antibiotics. We could never have imagined that Leah would have been in the hospital for so long.
No one can prepare you for seeing your baby lying in a bed with multiple tubes and drips connected to her, you not being able to even pick her up because of the ventilator.
On 12 April 2009, 117 days since she was admitted, my wish came true. I was able to hold her for a few minutes. It made my day and gave me hope. It was so special and I didn't want to put her down. The time went by so quickly. |
|
|
The next step for Leah was to come off the ventilator. This will be a very carefully planned extubation which will have to take place in theatre incase something goes wrong. The worst that could happen is that the trachea will collapse. If this happens there will be no oxygen going in and the dr's will have to put the ventilator tube back in. We are not sure if they will do any more balloon dialatations.
On Tuesday 28 April 2009 they extubated Leah ........ and the trachea stayed open!! The doctors watched in disbelieve as Leah was breathing on her own, awake and fully aware of what was going on around her. All the nurses came to see how she was doing and was also amazed at how well she was doing. I was able to hold her again on the thursday. She's lost a lot of weight and is now weighing 4.30kg. She was struggling to breath and not doing to well. They had to put the ventilator back on. They decided to take her into theatre that evening for a bronchoscopy to see if there is another narrowing of the trachea, there was and they had to do another balloon dialatation. After that a hole appeared in her lung. She deteriorated during the night and had to be taken into theatre at 04h00 on friday morning. They had to operate and close the hole. This was a big shock to us as we thought we were on the way out of the hospital. |
|
Leah is doing well and stable after the operation. They will keep her sedated for a few days and start with the weaning process as soon as she is doing well enough.
If the weaning process succeeds and she is extubated again, we will have to see what the trachea does. If it doesn't stay open the
next step to help Leah with the stenosis is to put a Stent in the trachea to keep it open. We believe that this wont be necessary as we believe that God has healed her 100%. The doctors haven't explained this procedure to us yet as they are also hoping that the trachea will stay open the second time around.
Leah's After Care
Leah's tube went down to just above the carina where it splits into the 2 bronchi to the lungs. The ventilator tube was used as an internal stent, helping the trachea to stay open. This was strapped so tightly to her nose as it was not to move. The long term tubing and strapping has caused scabs on Leah's nose and has also made the one nostril a little bigger. The nose is made of cartilage and should heal with time, if not surgery would be needed when she is a little older.
The ventilator tube went through the vocal cords, this causes her to make no sounds at the moment while she is intubated. When they extubate there is most likely to be no sounds when she cries. It will come back with time and may also sound course. Leah has forgotten how to suck and will need to get special physiotherapy with a speech therapist. She will also need a physiotherapist to help her with movement as her muscles are very weak. She's been lying on her back for over 4 months. One can say that Leah is a newborn again and has to learn everything all over again. She will also be introduced to food.
Driving up and down from Pretoria to Johannesburg everyday has become routine. It is part of our daily plans and not one day has passed that I haven't visited her. It is a 70km drive from Pretoria to Sunninghill Hospital and the petrol account is quite high every month. The visiting hours are very strict, we can only see her between 10:15 - 11:00, 15:00 - 16:00 and 19:30 - 20:00. This time is so little and goes by very quickly.
So far most of the bills have been paid by the medical aid, but you do get x-rays, blood gas tests and CT-SCANS they don't want to pay. And then off course they don't pay the full anesthesiologist accounts, which means we have to pay that ourselves. Just the day to day accounts (x-rays, gasses, blood transfusions, etc) is already at R500 000,00 for this year. That excludes last years bill. We don't know what the hospital bill is standing on, but know that it is between R8 000 - R10 000 per day for Leah to lie in the bed she is in.
Update: 11 May 2009 (Day 145)
 |
Prof Kinsley has been in contact with Dr Elliot from GOSH in London. According to him Leah's case is very severe and the only way to get her to breath on her own would be to put a permanent stent in. Before they can do this a Bronchogram (same as an angiogram) needs to be done and sent over to Dr Elliot together with all Leah's files. Dr Elliot has said that he will review Leah's files and then decide if he should come to South Africa or if Leah needs to be sent there. We truly believe that he will be able to help us.
Leah is not absorbing any of her feeds at the moment and her tummy is very extended. They have placed a deudenal tube in (a tube through her nose that goes through the tummy into the deudenum) and they then give 2ml milk every hour. It is partially digested milk helping with the absorbsion. She is on full ventilation and under constant sedation. She is not allowed to wake up and move around. They want the ventilator tube to be an internal stent to the trachea, thus meaning that the tube can't move.
Due to the poor nutrition Leah's hair is not growing and she is not really picking up weight. They are also giving VitD drops that she needs because she is not in contact with the sun. On the x-rays you can see her teeth and we are sure that they will appear one of these days. |
We can only keep on praying to God and ask for another miracle!! That He will heal her completely!!
Update: 5 June 2009 (Day 170)
Leah is doing well and is waking up allot. I was able to hold her yesterday and she looked very comfortable and relaxed. She was looking around as if she noticed that she was not in the crib. Leah is now on 60ml of milk every 3 hours and is weighing 4,77kg. She is still on ventilation but on very low rates and 30% oxygen. They are weaning her slowly from the ventilator.
We are not sure what the team of specialists want to do next. They have said that they might do another Bronchogram and then try and extubate. After extubation they will put her on CIPAP and we believe that the trachea will stay open and not spasm. They are still in contact with Dr Elliot in London, but have not yet decided what to do.
We pray to God to show the specialists what to do!!
Update: 1 July 2009 (Day 196)
A lot has happened in last month. On 11 June 2009 Leah had a big setback. The docter was busy changing her lines when all of a sudden blood came flowing out of her nose and mouth. They had to immediately try and stop the bleeding. She lost about 170ml of blood which had to be replaced. They got a general surgeon, Dr Loveland, to come and do a gastroscopy on Leah. He found that she had a few ulcers. The one had burst and caused the bleeding. He prescribed some antibiotics and "Gaviscon" to protect Leah's tummy.
The nurse said afterwards that Leah nearly went to Heaven!
It felt like our whole world came falling down. Everything was going so well. She was absorbing and the settings on the ventilator was so low she could almost be extubated. Dr Loveland said that Leah would be fine as long as she doesn't have another big bleed.
On 29 June 2009 Leah was taken into theatre to do a bronchoscopy and balloon dialation. The bottom part of her trachea collapsed again and she was struggling on the low ventilator settings. It looks like the two bronchi are also narrowed. We are not sure what they want to do, maybe a stent or just time for the trachea to heal and harden?
Today 1 July 2009 Leah is doing well after mondays bronchoscopy and dialation. She is absorbing 4ml Infatrini milk every hour and her ventilator settings are back to where it was. She is coping on these settings. Being on the low ventilator settings forces Leah to breath more on her own, strengthening her muscles and lungs making her stronger for when they want to extubate her again.
Update: 12 August 2009 (Day 238)
Another month has passed since I last updated the site and allot has happened during this time. Leah lost allot of weight and was weighing 4,17kg. She was so thin and we were very concerned for her health. We made an appointment with all the surgeons to discuss how we feel. Another dr was called in, Dr Steve Ponde. He will be looking after Leah, doing tests to find out why she is not absorbing and why she has such an enlarged liver. He placed Leah on an arterial feed called TPN. This is high in everything she needs to pick up weight again. He also changed the milk she is on from Infatrini to Neocate which is an elemental feed. She was doing well. Absorbing her feeds and slowly picking up weight again. Her airway pressures were good and they started weaning again. We were so happy and really thought that there was light in the tunnel.
But over the next two weeks things changed. She had very high airway pressures, she stopped absorbing and she got very swollen (edema) all over her tiny body. She looked like a little oros "girl". On the weekend of 18 July Leah wasn't doing very well at all and Dr Colsen said he thinks she needs to go in for another Balloon Dialation. The airway pressures went to 62, her carbon dioxide levels in her blood went to 109 and she was so swollen severely. Puffy eyes and fingers!
Dr Colsen took Leah in for the Balloon Dialation on monday 20 July. He said afterwards that the trachea and the two bronchi collapsed down again. The airway is soft and floppy. Best described as a balloon that's inflated and then deflated. My heart skipped a beat as he said that. We were really hoping that the cartilage rings would have formed by now. The plan is to do the stent.
Leah also went for the following tests:
1. CT-Scan (Which shows that the airway and bronchi are open on inspiration but close down on expiration. She will need further intervention ie. the stent);
2. MRI on brain (Which shows her brain is under developed, may be due to poor feeding and lack of proteins and not enough stimulation. We weren't told what the full prognoses is and what the outcome would be. Dr Aduc is doing further testing);
3. MRI on spine, liver and pancreas (All clear);
After all of the above Leah started absorbing again and was on 8ml Neocate per hour. She got 16ml TPN per hour and was losing all the excess water she had. Her carbon dioxide levels normalized and her airway pressures came down to 36 - 45. Which is very good for Leah. That was until the next weekend. On monday 3 August they took her in for another Balloon Dialation. It went very well and Dr Colsen feels happy.
I also saw a geneticist, Dr Nerine Gregersen. She will be doing some test on Leah as well. The tests will include a chromosomal test and a test to see if Leah maybe has a syndrome that caused all the defects that she has. Leah is struggling to eat, has an enlarged liver, only one kidney, had the heart defects and also the tracheal stenosis.
On friday 7 August Leah had another ulcer bleed. This time not so serious and Dr Martin was there in no time to treat Leah with cold saline. They phoned Dr Banieghbal to come and have a look at Leah. He feels that she might need to get a PEG (tube to feed Leah with). He will discuss this with Dr Ponde on monday.
Today Leah is doing much better and is very calm. She is however not getting any feeds at the moment, this is to give the stomach a rest. She has lost all the excess water and picked up some weight with the TPN (feed given intravenously) she is getting. Her new weight is 5,97kg. She looks around when you speak to her, lifts her legs and arms and even smiles some times.
We haven't received any feedback on any of the blood or genetic tests that have been done. They take between 2 - 4 weeks. We are waiting in anticipation to hear what the outcome is.
On the stent: We are still waiting for the company to come back to us on which stent to use for the stenosis that Leah has. Prof Kinsley has been in contact with Dr Elliot from Great Ormond Street Hospital in London and it looks like he might be coming over to do the operation on Leah when necessary.
No matter what the results say, we still trust and believe that God will do a miracle on Leah. He is in control and only He can decide what the outcome will be!
Update: 31 August 2009 (Day 258)
The last few weeks Leah have been quite stable and there wasn't any big changes. The TPN (feed given intravenously) was stopped and Neocate feed was started. Today Leah is on 55ml of milk every three hours and the big news is that it is not given in the duodenum but in the stomach. They haven't fed her in her tummy since she had the stomach ulcers. This really is a miracle!
She is still on the ventilator and is doing well. Her airway pressures range between 30 - 45 when she is coughing. She is stable and wakes up. A bit swollen (eedema) but nothing serious.
She was also taken out of the crib she has been lying in and put in a bed. She is now a big girl!!
We are still waiting on some of the results from the tests the geneticist, Dr Gregersen, requested. The one chromosomal test to check if all the chromosomes are there and correct, came back with no bad results, everything is 100%.
Leah is turning one on 9 September 2009 and we have decided to also christen her on this day to make it even more special and memorable. We will post all the photos of this special day after the function.
Update: 11 September 2009 (Day 269)
On 9 September 2009 we celebrated Leah's 1st birthday. It was such a wonderful and special day and we would like to thank each and every one who shared this special day with us. Those who took the day of to be there with us, thank you!!
Thank you for all the the gifts, cards and money that was given to Leah on her birthday. We will keep them all and tell her who gave her what.
Leah was also christened on her birthday. It was such a blessed day and I could feel God's presence around us. He is such a great God and we thank Him for this special day. For sparing her precious life until now and all the miracles!!
Update: 24 September 2009 (Day 282)
Leah is doing very well after the recent balloon dialatation she had on sunday 20 September 2009. She is fully awake and looking around. She is on a new milk called Alfare and is getting 35ml every 3 hours. She is absorbing the milk and will now slowly start putting on weight. After a few weeks she of absorbs ion the milk will be changed to either Infatrini/NAN or S26.
We have spoken to Prof Kinsley about Leah and the stent. We have decided not to do this operation now. The operation is very difficult and there could be a lot of complications. The stent could either not be removed or it would get stuck to the trachea. The other thing that made us decide not to do the operation now is because she might not make the operation.
For now Leah will be kept stable. The plan is to do another balloon dialatation in 3 months with a size 10 and then in another 3 months time another balloon dialatation with a size 12. The trachea is malacia which means it is very soft and not staying open. Hopefully in time the cartilage will form and get hard so that the trachea can stay open.
She is getting physio everyday on her arms, legs and body and we also arranged for a speech therapist to come and work on Leah.
On thursday 10 September 2009 a Golf day fund raiser was held in Ellisras for Leah by Esorfranki Civils. Please see below for photos.
|